インプラント治療とは?
少数の失った歯に対しての治療には、残ってる歯と歯を支えにして人工歯を入れるブリッジと人工の歯を直接骨に埋めるインプラント歯科治療があります。
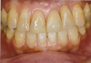
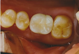
インプラントは、失ってしまった天然歯のかわりにインプラント(人工の歯根)を顎の骨に埋め込み、その上に人工の歯を装着する治療になります。
このインプラント治療は、現在歯科医院で広く普及し、現在は一般的な治療になっています。アロマスクエア歯科クリニックではインプラントの治療を行っておりますので、お気軽にご相談ください。


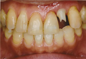
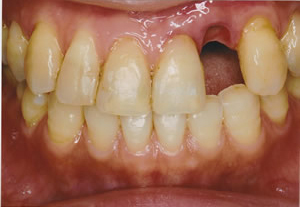
①インプラントを入れる前です。保存不可能な歯を抜歯しました。